男子高烧不退,肺“白”了一大片!医生提醒:严重可致呼吸衰竭

Kommentarer · 141 Visninger

近日,武汉一维修工程师在清理长期未开机的ATM机后出现头痛、高烧不退等症状。就医后医生揪出致病菌——军团菌,目前经过对症治疗,男子症状缓解,并于10月14日出院。49岁的张先生是一位维修工程师,一周前突然

     近日,武汉一维修工程师在清理长期未开机的ATM机后出现头痛、高烧不退等症状。起初,他认为是普通感冒,结果服药后仍高烧不退。就医后医生揪出致病菌——军团菌,目前经过对症治疗,男子症状缓解,并于10月14日出院。

     49岁的张先生是一位维修工程师,一周前突然高烧到39℃。一开始以为是着凉感冒导致,张先生吃了退烧药,但效果不明显。在经历了三天反复高烧后,张先生意识到问题的严重性,赶紧到医院就诊。

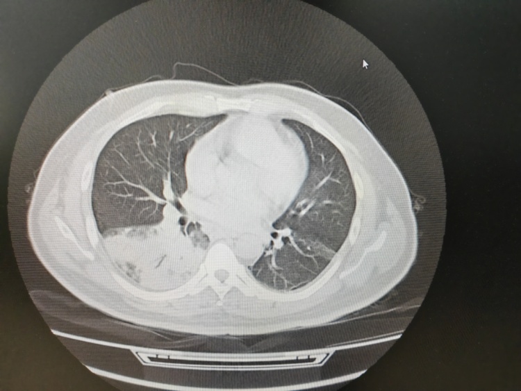
     医生详细询问,并为患者完善了相应检查。结果显示,张先生的左肺竟然“白”了一大片。气管镜检查后,团队再通过肺泡灌洗液NGS检测抓住元凶——军团菌。

  

     张先生回忆,一周前他曾参与过ATM机维修,由于机器内部长期未清理,打开后灰尘较多,但他当时又没戴口罩。医生推断,张先生很可能是在维修时中招了军团菌。

    为什么ATM机里藏有军团菌?

     医生解释,机器运行时会产生大量热量,内部设计有小型水冷系统或散热风扇来降温,如果机器内部潮湿、有积水又长期没清理,就像个“小型空调冷却塔”,为军团菌繁殖创造条件。打开机器后,极易吸入含有细菌的微小水汽从而中招。所幸张先生就医及时,目前体温恢复正常并已顺利出院。

     医生介绍,军团菌是一种喜欢生活在温水里的细菌,自然界的水塘、溪流里都有它,但它更爱空调冷却塔、热水器、淋浴喷头、温泉、公共喷泉等人类创造的“温水环境”。虽不算常见,但其起病急、进展快,能在短短几天内引发重症肺炎,甚至呼吸衰竭。市民及相关行业人员务必定期清洁维护易积水的设备,作业时佩戴口罩并保持通风。若出现持续高热、咳嗽伴全身酸痛等症状且常规治疗无效,应尽快就医。

  来源:青岛日报

Kommentarer
会员免费服务:时刻音乐 时刻云盘 时刻工具箱 时刻标签 GitHub加速 时刻工具